ここがページの先頭です。

横浜 中田にある夜間診療もやっている歯医者 / 医療法人社団勇和会 さくら歯科クリニック中田

医療法人社団勇和会 さくら歯科クリニック中田
医療法人社団勇和会 さくら歯科クリニック中田
ホーム > 診療科目 > 矯正治療 > 矯正治療例
矯正治療
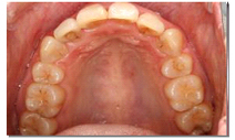
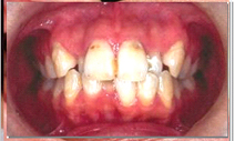
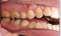
上顎前突
施術前
施術後
上顎前突 施術前

→

上顎前突 施術後
上顎前突 施術前

→

上顎前突 施術後
上顎前突 施術前

→

上顎前突 施術後
上顎前突 施術前

→

上顎前突 施術後
上顎前突 施術前

→

上顎前突 施術後
ページトップへ
下顎前突、反対咬合
施術前
施術後
下顎前突、反対咬合 施術前

→

下顎前突、反対咬合 施術後
下顎前突、反対咬合 施術前

→

下顎前突、反対咬合 施術後
下顎前突、反対咬合 施術前

→

下顎前突、反対咬合 施術後
下顎前突、反対咬合 施術前

→

下顎前突、反対咬合 施術後
ページトップへ
叢生(歯列の凸凹)
施術前
施術後
叢生(歯列の凸凹) 施術前

→

叢生(歯列の凸凹)施術後
叢生(歯列の凸凹) 施術前

→

叢生(歯列の凸凹)施術後
叢生(歯列の凸凹) 施術前

→

叢生(歯列の凸凹)施術後
叢生(歯列の凸凹) 施術前

→

叢生(歯列の凸凹)施術後
ページトップへ
開咬
施術前
施術後
開咬 施術前

→

開咬 施術後
開咬 施術前

→

開咬 施術後
開咬 施術前

→

開咬 施術後
ページトップへ
上下顎前突
施術前
施術後
上下顎前突 施術前

→

上下顎前突 施術後
上下顎前突 施術前

→

上下顎前突 施術後
上下顎前突 施術前

→

上下顎前突 施術後
上下顎前突 施術前

→

上下顎前突 施術後
上下顎前突 施術前

→

上下顎前突 施術後
ページトップへ
上下顎前突
施術前
施術後
上下顎前突 施術前

→

上下顎前突 施術後
上下顎前突 施術前

→

上下顎前突 施術後
上下顎前突 施術前

→

上下顎前突 施術後
上下顎前突 施術前

→

上下顎前突 施術後
上下顎前突 施術前

→

上下顎前突 施術後
ページトップへ
八重歯
施術前
施術後
八重歯 施術前

→

八重歯 施術後
八重歯 施術前

→

八重歯 施術後
八重歯 施術前

→

八重歯 施術後
八重歯 施術前

→

八重歯 施術後
八重歯 施術前

→

八重歯 施術後
ページトップへ
前歯のすき間、歯列の凸凹
施術前
施術後
前歯のすき間、歯列の凸凹 施術前

→

前歯のすき間、歯列の凸凹 施術後
前歯のすき間、歯列の凸凹 施術前

→

前歯のすき間、歯列の凸凹 施術後
前歯のすき間、歯列の凸凹 施術前

→

前歯のすき間、歯列の凸凹 施術後
前歯のすき間、歯列の凸凹 施術前

→

前歯のすき間、歯列の凸凹 施術後
前歯のすき間、歯列の凸凹 施術前

→

前歯のすき間、歯列の凸凹 施術後
ページトップへ
前歯反対咬合
施術前
施術後
前歯反対咬合 施術前

→

前歯反対咬合 施術後
前歯反対咬合 施術前

→

前歯反対咬合 施術後
前歯反対咬合 施術前

→

前歯反対咬合 施術後
前歯反対咬合 施術前

→

前歯反対咬合 施術後
前歯反対咬合 施術前

→

前歯反対咬合 施術後
ページトップへ
上顎前突、八重歯
施術前
施術後
上顎前突、八重歯 施術前

→

上顎前突、八重歯 施術後
上顎前突、八重歯 施術前

→

上顎前突、八重歯 施術後
上顎前突、八重歯 施術前

→

上顎前突、八重歯 施術後
上顎前突、八重歯 施術前

→

上顎前突、八重歯 施術後
上顎前突、八重歯 施術前

→

上顎前突、八重歯 施術後
ページトップへ
叢生(歯列の凸凹)2
施術前
施術後
叢生(歯列の凸凹)2 施術前

→

叢生(歯列の凸凹)2 施術後
叢生(歯列の凸凹)2 施術前

→

叢生(歯列の凸凹)2 施術後
叢生(歯列の凸凹)2 施術前

→

叢生(歯列の凸凹)2 施術後
叢生(歯列の凸凹)2 施術前

→

叢生(歯列の凸凹)2 施術後
叢生(歯列の凸凹)2 施術前

→

叢生(歯列の凸凹)2 施術後
ページトップへ
叢生
施術前
施術後
叢生 施術前

→

叢生 施術後
叢生 施術前

→

叢生 施術後
叢生 施術前

→

叢生 施術後
叢生 施術前

→

叢生 施術後
叢生 施術前

→

叢生 施術後
ページトップへ
診療ご予約は、お電話で承ります。電話番号:045-410-7119